Categories

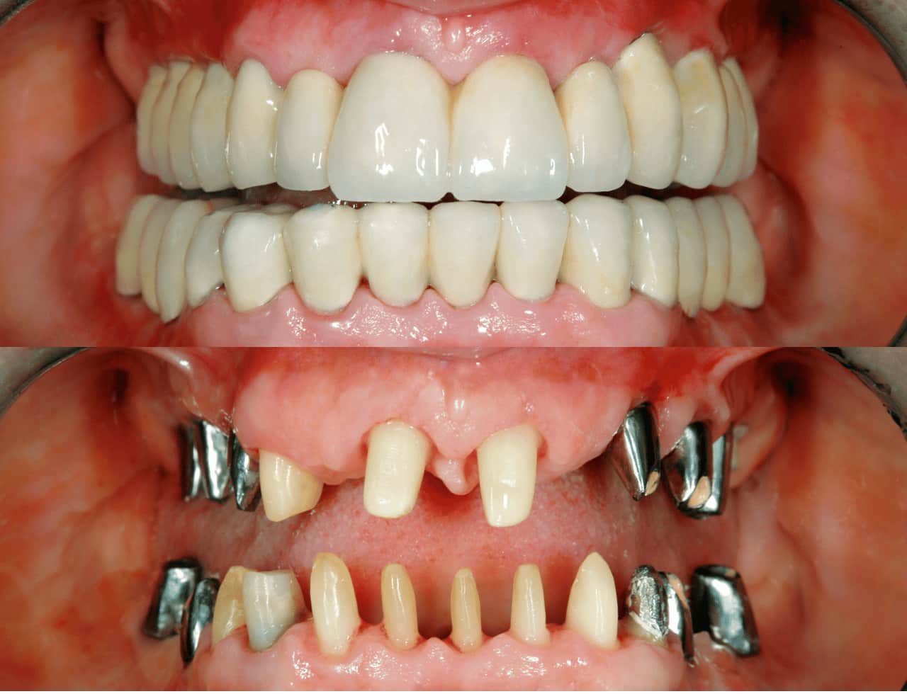
Full mouth rehabilitation with implants restores function, aesthetics, and confidence using advanced techniques for lasting oral health.

Read More

Learn about full teeth replacement costs in Trichy, India. Discover implant options, factors affecting prices, and why dental implants are the best choice for lasting smiles.

Read More